
CT圖像上的偽影是指在成像過程中產生與被掃描組織結構無關的異常影像。分析和判斷偽影的形成原因,認識偽影的各種特征。才能迅速排除問題,較大限度的減少因偽影而產生誤診的機會CT影像的偽影主要分兩大類:硬件系統所致的偽影和人為因素所致偽影。
一、硬件系統所致的偽影
1、機器故障偽影
機器故障偽影是由于設備運行不穩定或某一元器件損壞所造成。如探測器之間的響應不一致,可造成環狀偽影;投影數據測量轉換誤差,可導致直線狀偽影;采樣頻率較低也可產生直線狀偽影;射線化效應,則可產生寬條狀偽影。依照CT的構成,機器故障偽影大致來自以下幾個方面:
(1)數據采集及傳輸系統,包括探測器、通道放大板、A/D轉換板、控制和傳輸系統等。
(2)X線掃描系統,包括高壓部分、X線球管、濾線裝置等。X線輸出不穩定或是不能均勻排布都會引起數據的紊亂。
(3)數據重建系統。
(4)圖像顯示系統。

(機器故障偽影:常為環形或同心圓狀高密度偽影)
2、機器故障偽影的形狀機器故障所至偽影的形狀各種各樣,有非同心圓形和同心圓形(單同心圓和多同心圓、直線形、柵格形條紋狀)、星狀,還有不規則形,一般來說.根據偽影形狀可大致區分為機器哪一個系統故障所致。
如:單同心圓可能為通道板故障、連續屏蔽多個通道,多同心圓可能為環境溫濕度變化較大,AD控制板故障、線性電源問題、高壓線性電源問,滿屏斜條或直線可能為高壓系統故障·不規則形則可能為球管老化所致。
二、人為因素所致偽影。
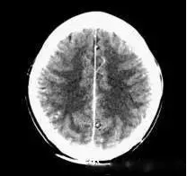
1、運動偽影
在掃描過程中,如果病人體位發生變化,可造成圖像數據排列紊亂。重建圖像結構模糊,無法分辨。運動偽影又分為自主運動偽影和生理性運動偽影。
(1)自主運動是指那些患者可以控制的運動,如呼吸運動、體位移動等。
(2)生理性運動是隨機的,不能由患者自主控制,如心臟管搏動、胃腸蠕動等。

(運動偽影)
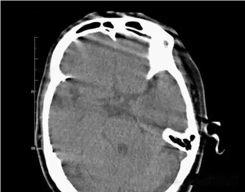
2.異物偽影:主要為密度差別極大的物體如金屬和人體組織一起掃描時所造成,偽影的特點是沿著高密度物體呈放射狀排列。有時圖像上不一定能直接看到目標異物,但只要仔細觀察偽影的放射狀搏列方向,即能找到異物的來源。

3、掃描條件不當造成的偽影CT檢查時,選用的掃描參數不當,如掃描參數設定過低等,亦可產生偽影。
偽影分析及對策:
一、機器故障偽影處理對策
1、排除顯示系統故障:調出故障前已經儲存的圖像,如存在同樣偽影則可確定顯示系統故障。
2、排除數據重建系統故障:調出已經儲存的原始數據。利用圖像重建系統進行重建,如仍然存在偽影。再使用相關診斷軟件進一步仔細分析即可確定。排除數據收集和傳輸系統故障.
首先,在數據收集系統上向數據重建系統發送數據,如無異常則要排除數據收集系統{DSA}的故障,測量DSA的電源是否穩定和準確。
檢查檢測器壓力是否不足,另外控制環境溫濕度穩定在規定范圍內,重做靈敏度校正,水模校正,影像定標。否則可根據偽影形狀從以下幾個方面分析:
(1)如偽影為單同心圓而定位像上亦有直線偽影,則要懷疑通道放大板,用偽影測試軟件可大致判定相關的通道板,將此板與其他板更換位置后可確定故障,更換通道板或把相應通道屏蔽,但不要連續屏蔽多個通道。
(2)如偽影為多同心圓狀,且圓與圓之間有相同的間距,則應懷疑為AD控制板問題,用偽影測試軟件可大致判斷相關AD板,亦可采用更換位置的方法來確認;另外應檢查檢測器壓力是否不足。
(3)如沒有改變則為DSA控制板問題;
(4)如懷疑探測器問題,可作試探性掃描,改變掃描條件后,偽影應該有相應變化;
(5)如頭部和體部掃描偽影不一樣(使用同樣的重建函數),則應檢查濾線裝置。
(1)、(4)、(5)條可通過作校準的辦法進行協助確認,一般校準后,圖像偽影會有改善,一段時間后,故障依然如故。
3、排除X線系統故障
(1)球管老化:一般為不規則形偽影,可用靜態掃描的方法(無X線輸出)進行排除,進行校準偽影亦會有改變;
(2)高壓故障:一般為直線形或柵格形偽影,是CT偽影中最難判斷的,可能來自X線球管、高壓電纜、電纜接頭、高壓發生器、高壓控制電路、以及電源電壓等故障,只能一個一個地檢查和排除。床速不穩也可以產生直線形偽影,可調整床的運行速度及檢查控床的服務器。
5、射線束硬化偽影的對策
射線束硬化使X線光子吸收不均衡,相應產生部分高信號。如果這種非線性衰減不作補償,會產生條狀或環狀偽影。抑制的方法是在X線源與人體之間加裝濾過裝置,使X線能雖分布均勻,射線束硬化效應得到補償,從而消除偽影。技術人員在設置掃描計劃時,應盡可能避開骨性結構,減小硬化效應可能導致的偽影。

6、部分容積效應產生的偽影及對策
部分容積效應偽影的形狀可因物體的不同而不一樣,一般在重建后橫斷面圖像上可見條形、環形或大片干擾的偽像。最常見和典型的現象是在頭顱橫斷面時的顳部出現的條狀偽影,又稱哼氏偽影。該偽影現象可采用薄層掃描而減弱;在西門子系列的CT機中.用VAR掃描技術可抑制該偽影。

7、周圍間隙現象偽影及對策
在同一掃描層面內,與層面垂直的兩種相鄰且密度不同的組織,其邊緣部的CT值不能準確測得,因而在CT圖像上,其交接處圖像不能清楚分辨,這種現象即為周圍間隙現象,此種現象的實質仍是一種部分容積效應。通過減薄掃描層厚,可減少此類偽影的發生。
8、采樣或瀏量系統誤差偽影及對策
在扇形束掃描方式中,兩個物體或結構間的間距小于到達該物體的掃描束,無法由射線束分辨,可產生采樣誤差。采樣誤差可造成物體結構重疊模糊現象,消除方法是采用局部放大掃描或者根據不同部位采用合適的重建算法(高分辨率、標準、軟組織)。
9、掃描系統誤差偽影及對策
在掃描期同,系統本身對不同的測量數據,根據每天的校正測量數據會及時的做出修正。如超出該修正范圍,可出現錯誤信號甚至無信號,導致圖像中的環狀偽影,該偽影的半徑對應于探測器陣列中出現測量誤差探測器的位置所在。系統誤差的防止方法一般是每天開機或連續幾小時不工作后,作系統校正測量及其定期地作系統維護。
10、掃描視野不一致性所致偽影及對策
CT掃描時,在射線路徑剖面圖上,中心部的路徑要長于邊緣部分。通常在成像過程中,圖像處理計算機根據參考值對相應的射線硬化作校正補償,使射線束均勻一致,如果參考值誤差在水模測試中可出現環狀模糊偽影。在均勻水模的中心及四周的CT值不一致,防止掃描視野不一致性的措施是盡可能將病人置于掃描視野范圍內。
二、人為因素偽影處理對策
1、運動偽影:掃描開始前將掃描過程及要求向患者交代清楚,使之做到心中有數,有良好的心理準備,消除患者緊張心理,在掃描中做好屏氣等配合,保持體位不動,即能克服自主運動偽影。對胃腸蠕動這類生理性運動偽影,克服的方法是肌注低張藥物,如山莨菪堿等,降低胃腸張力、減輕腸痙攣和減少腸蠕動;對心臟血管搏動偽影可采用心電門控的方式予以克服。
2、金屬異物偽影:金屬異物產生的放射狀偽影,嚴重時明顯影響診斷。在掃描前應去除病人體外隨帶的金屬物質,而病人體內無法去除的金屬物質,如假牙或牙內填充物、假肢、各類金屬支架等,可采用傾斜機架或掃描線的角度盡可能避開。目前也有研究采用某種算法抑制此類偽影。腹部常規掃描一般服溫開水,盡量不要服含碘造影劑。
總之,偽影是CT使用中常見的故障現象,由于偽影的形狀多種多樣,形成的原因也千差萬別,維修起來也較復雜,但只要有一個正確的思路,根據偽影現象一步步排除,偽影故障是不難解決的。

